【Lai傳媒 記者爆料網 蔡智銘/台中報導】一名86歲女性持續一週左下肢痠痛且逐漸加劇,前往急診就醫,經超音波檢查,赫然發現腹主動脈瘤已達7公分之大,經緊急手術治療已康復出院,平等澄清醫院急診室主治醫師孫秀正表示,腹主動脈瘤被稱為「沉默的殺手」,部分患者可能只出現腹痛、腰痛、背痛或下肢疼痛,很容易被誤認為肌肉痠痛或關節問題。


老婦只是腳痠 急診竟發現死亡率極高大型腹主動脈瘤 。平等澄清醫院提供
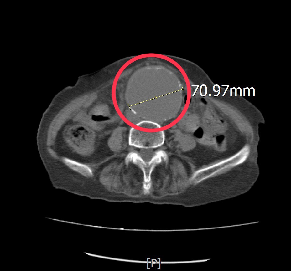
這位高齡患者由家屬陪同到急診求診時,一再強調她左側下肢痠痛及腰部不適,但並沒有明顯外傷史,其疼痛指數已達到8至10分,為了快速釐清病情,孫秀正醫師立即為病人進行床邊超音波檢查。透過即時影像檢查,發現患者的腹主動脈明顯擴張,直徑已超過7公分,高度懷疑為腹主動脈瘤,進一步安排電腦斷層檢查確認診斷,結果顯示確實為大型腹主動脈瘤。
孫秀正醫師表示,腹主動脈瘤,是腹部主動脈血管壁因退化或動脈硬化而逐漸擴張,當血管直徑持續增大,血管壁會變得脆弱,一旦發生破裂,可能在短時間內造成大量內出血,死亡率極高。當腹主動脈瘤直徑大於5至5.5公分時,破裂風險即明顯增加,而該患者的腹主動脈瘤已超過7公分,屬於極高風險狀態,因此必須儘速處理。
澄清醫院急診團隊立即啟動跨科別合作機制,緊急會診心臟血管外科。經醫療團隊與家屬詳細說明病情與治療計畫後,迅速安排病人接受手術治療,把握黃金治療時機,術後恢復良好,已康復出院。
孫秀正醫師提醒,腹主動脈瘤常被稱為「沉默的殺手」,病人在描述症狀時往往不會使用名詞。例如有些患者會說「下背痛」、「屁股痛」或「腰痠」,看似一般的不適,但這些症狀有時也可能與主動脈剝離或腹主動脈瘤等重大血管疾病有關,因此醫療人員在評估時必須保持高度警覺,很容易被誤認為肌肉痠痛或關節問題。
孫秀正醫師呼籲,腹主動脈瘤好發於高齡族群、吸菸者、高血壓患者及有動脈硬化或心血管疾病病史者。若出現突發性的腹痛、腰痛、下背痛、背痛或不明原因下肢疼痛,應儘早就醫檢查,以免延誤治療時機。
