彰市重陽節敬老 林世賢將增設活動中心讓長輩就地安養

圖說:林世賢親自送金項鍊、紅包禮物給百歲…
管理外稿用….請記者勿選

圖說:林世賢親自送金項鍊、紅包禮物給百歲…

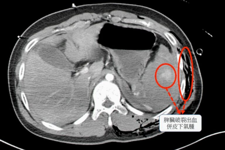
圖說:彰基醫療長張尚文提醒民眾,意外事故…

Mike Honda老師帶領葳格小學學生與珍古德…

【Lai傳媒、記者爆料網/張哲維/台中報導】…

台中美國學校傳出食物中毒案件,有6名師生…

▲潛水裝備可與消防局現有水下通訊系統整合…

▲仁海宮建廟二百週年祈安五朝福醮動土大典…

▲「東之小徑十六道白」榮獲2025年建築界指…

▲林建隆局長呼籲民眾切記防詐三步驟「一聽…

▲「碳竹雞」智慧回收機於新竹漁港旅遊服務…

▲️峨眉鄉幸福巴士今日通車。(圖/記者蔣彤…

▲預估首日台61線竹港大橋南下壅塞車潮(圖/…

▲交通部公路局為鼓勵民眾連假期間搭乘公共…

▲為開航日本-高雄航線,捷星日本航空代表…

▲連假期間國道收費情形。(圖/記者蔣彤雲攝…

遠東銀行董事長侯金英辭世 享耆壽95歲 金…

商傳媒|記者張瑞珊/花蓮報導 花蓮地區近…

「太禾良品」公開現場舉行貴賓剪綵儀式,…

桃園機場榮登「全球最友善機場」第1名。 …

(觀傳媒新北新聞)【記者蔡宇辰/新北報…

(觀傳媒新北新聞)【記者蔡宇辰/新北報…